La correcta postura de la mandíbula, brinda estabilidad a la columna vertebral.
Cuando existen signos de una inadecuada posición de las articulaciones de la mandíbula, existe Disfunción Temporomandibular ; y es primordial corregirla a cualquier edad, con procedimientos simples y eficaces sin ser invasivos, para eliminar los síntomas que ésta provoca, como son: ruidos articulares, dolor en los músculos de la cara y cabeza, dolor o cansancio al masticar, limitación y dolor al abrir o cerrar la boca, sensación de entumecimiento o adormecimiento, neuralgias, dolor de oídos, zumbidos, así como dolores de cabeza, sensibilidad del cuero cabelludo, migraña, dolor ocular, vértigos, mareos, tinnitus, dolor de garganta, cuello y espalda, extendiéndose en algunas ocasiones a otras articulaciones como hombros, codos, rodillas y pies.

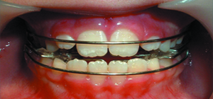
El tratamiento se realiza a través de una Férula intrabucal de baja fricción y técnicas de reprogramación muscular en todo el organismo, reestableciendo el equilibrio neuromuscular cráneo-vertebro-mandibular.

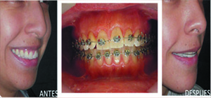
Después de los 15 años no es posible cambiar patrones de crecimiento. En esta etapa los tratamientos son correctivos y se realizan a traves de Ortodoncia y no hay límite de edad.

A través de la Ortodoncia se ubican los dientes naturales en la posicion ideal con respecto a sus ATM y a parametros de estética dentofacial individualizado a cada paciente, con lo cual mantenemos las ATM estables y por lo tanto, se obtendrá función y estética en equilibrio óseo, muscular y facial, sonrisas sanas y salud integral del paciente devolviendo calidad de vida.
Cuando por distintas causas se han perdido dientes, es muy importante reemplazarlos, en virtud de que nuestra dentadura está diseñada para soportar las fuerzas de la masticación de manera uniforme, repartiendo estas cargas entre todos los dientes del sistema.
De tal manera, de haber ausencias dentales, se sobrecargan los dientes existentes, al igual que los músculos, ligamentos y órganos, lo cual conlleva a perder más dientes naturales y desestabilizar las ATM y al organismo.
Al reemplazarlos, es superlativo valorar las ATM antes de colocar cualquier restauración o rehabilitación -inclusive una resina-, pues estas articulaciones son altamente sensibles.
Los dientes naturales restantes deben ubicarse en su correcta posición con Ortodoncia y dar el espacio necesario para los dientes que faltan, por medio de implantes, prótesis removibles o prótesis fijas resultando en una dentición adulta completa.
Como papás quiero hacerlos partícipes de la educación dentofacial de sus hijos.
Es preponderante monitorear el desarrollo dental, óseo, muscular y facial de nuestros niños para evitar que durante su crecimiento en los primeros años de vida, manifiesten o adquieran "malos hábitos" dentro de los que se encuentran el uso del chupón, el morderse las uñas o los labios, respirar con la boca abierta, mordida cruzada o invertida, mordida abierta, el no masticar alimentos fibrosos o duros, el roncar, entre otros.

Actualmente se conoce que funciones básicas de nuestro organismo como son la RESPIRACIÓN, la masticación, la deglución y el habla; tienen un papel fundamental en el desarrollo armónico dental y óseo de los niños, inherente en el desarrollo del lenguaje, el aprendizaje y su AUTOESTIMA. De ahí que la presencia de alteraciones en las funciones básicas daña la oportunidad de un crecimiento normal y adecuado en los niños.
La Ortopedia es preventiva. Estimula y redirecciona los patrones de crecimiento anormales, equilibrando la postura ideal de la mandíbula con el resto del organismo. Se realiza desde los 4 hasta los 10 años aproximadamente.
Es una Ortodoncia transitoria que se realiza en dentición mixta (dientes temporales y dientes permanentes); es una alternativa de tratamiento que se utiliza en combinación con la Ortopedia maxilar en casos donde hay dientes con incorrecta posición.

Es auxiliar al tratamiento de Ortopedia, se realiza entre los 8 a los 13 años aproximadamente
El Blanqueamiento Láser es un método estético muy recomendado al finalizar el tratamiento de Ortodoncia en pacientes adultos, ya que a través de sus dientes naturales se logra una tonalidad más clara en los dientes y por ende una sonrisa más luminosa.

Es un método seguro ya que se lleva a cabo en el consultorio en una sola sesión, y minimiza la sensibilidad por medio del láser.
Promover la salud bucodental para evitar problemas como la caries y enfermedades periodontales, previniendo complicaciones invasivas.